
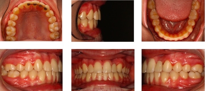
Patient. Jenna came to us as an 11-year-old girl who had real concerns about "naturally" missing a front tooth and having another "smaller" front tooth.
Problem. We reached out to Jenna’s dentist and worked with him to devise a treatment plan. We decided that the first step would be to leave the space around the "small" tooth. Eventually Jenna’s dentist would place a veneer here. The second step was to create space where her adult tooth was missing in preparation for an eventual implant. The problem was that Jenna was too young to get an implant. Typically, the earliest someone can receive an implant to replace a missing tooth is when they reach the age of 18. This is because we want to make sure the jaw bones of the patient are done growing first!
Solution. Jenna, as we mentioned, was 11, so we placed braces, straightened her teeth, and created the proper spaces needed for future dental work.
The Process. Shortly afterwards, her dentist placed a beautiful veneer as needed. And, in order to hold the other implant space until she was older, we created a "fake tooth" which is glued to other teeth. From the front, the fake tooth looks just like a normal tooth! But viewed from the back, you can see where the glue and thin wire is placed for stability.

Results. Years later as an adult in her early 20's, Jenna came back to us to finish the job! The fake tooth was removed. Then a retainer was made to hold this space while the implant was placed. You can see the incredible outcome by the photos. We could not be happier for Jenna and the orthodontic journey she took with us at the Baltimore Orthodontic Group!

Website Powered by Sesame 24-7™